Galleries by Procedure:
Brow LiftBefore & After Pictures

BEFORE
AFTER
Click here to see more views
* Individual Results May Vary
Case # SBL007 | Brow Lift & Excision of Upper Eyelid Skin Albany, Latham, Saratoga NY
- Gender: Male
- Age: 69

BEFORE
AFTER
Click here to see more views
* Individual Results May Vary
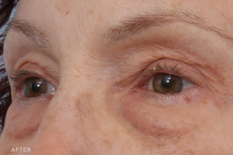
Case # BLFL-10 | Bilateral Brow Lift Albany, Latham, Saratoga NY
- Gender: Female
- Age: 66
This sweet patient underwent a brow lift along with an upper blepharoplasty to address sagging eyeli... Read Full Story
This sweet patient underwent a brow lift along with an upper blepharoplasty to address sagging eyelid skin. With a special event coming up this fall, she wanted to look refreshed and feel her best. We’re honored she chose our team to be part of her journey.

BEFORE
AFTER
Click here to see more views
* Individual Results May Vary
Case # FL 162 | Deep Plane Facelift Albany, Latham, Saratoga, NY
- Gender: Female
- Age: 50
This patient came into our facility for an opinion on her aging concerns. After meeting with our fac... Read Full Story
This patient came into our facility for an opinion on her aging concerns. After meeting with our face specialist, Dr. Edwin Williams, she decided it was time to do this for herself. Dr. Williams performed a deep plane facelift, and endoscopic brow lift, along with an upper and lower blepharoplasty. As you can tell, she has very nice improvements, only three months post-op!

BEFORE
AFTER
Click here to see more views
* Individual Results May Vary
Case # DBL002 | Bilateral Brow Lift & Upper Blepharoplasty Albany, Latham, Saratoga NY
- Gender: Female
- Age: 71
This patient came to our center concerned about excess skin and drooping in her brow area, which gav... Read Full Story
This patient came to our center concerned about excess skin and drooping in her brow area, which gave her a heavy, tired look. She also experienced occasional visual obstruction due to the sagging skin above her eyes. To address these concerns, she underwent a brow lift procedure with Dr. Lee to elevate the brows and remove excess skin. Following surgery, she is healing well and reports a noticeably more open, refreshed eye area, improved vision, and a youthful, rejuvenated appearance. She is very pleased with her results.


BEFORE
AFTER
Click here to see more views
* Individual Results May Vary
Case # BLFL-022| Bilateral Brow Lift & Upper Blepharoplasty Albany, Latham, Saratoga NY
- Gender: Female
After lifting the heaviness of the brow, with the browlift a Blepharoplasty on the upper lids was pe... Read Full Story
After lifting the heaviness of the brow, with the browlift a Blepharoplasty on the upper lids was performed to accomplish these results. Her eyebrows remain at approximately the same position, her eyes are brighter, her midface (Cheeks) have been re-positioned resulting an improved jawline. Even the lines on the side of her mouth have been softened as a result of the mid-facelift.

BEFORE
AFTER
Click here to see more views
* Individual Results May Vary
Case # BLFL09 | Brow Lift & Fat Grafting Albany, Latham, Saratoga NY
- Gender: Female
- Age: 62
This patient came to our office to seek options for heaviness of her brow and forehead. After meetin... Read Full Story
This patient came to our office to seek options for heaviness of her brow and forehead. After meeting with Dr. Williams, she decided to go forward with a brow lift, midface lift, and fat grafting. As you can see from the photos shown, she now has a soft rejuvenated appearance. "I just couldn't be happier with my decision!"

BEFORE
AFTER
Click here to see more views
* Individual Results May Vary
Case # FL-148 | Deep Plane Facelift Albany, Latham, Saratoga, NY
- Gender: Female
- Age: 57
This delightful patient is six months post-op from her deep plane facelift, buccal fat removal, brow... Read Full Story
This delightful patient is six months post-op from her deep plane facelift, buccal fat removal, brow lift, 25% TCA chemical peel, and upper blepharoplasty. She spent some time doing her research for the past year and decided at her age it was time for a facelift. As you can see, she has some swelling from her procedure along with redness along her incision line which is expected during recovery. Overall, she is thrilled with her outcome and we are honored she chose our team for her care.

BEFORE
AFTER
Click here to see more views
* Individual Results May Vary
Case # SBL005 | Brow Lift & Excision of Upper Eyelid Skin Albany, Latham, Saratoga NY
- Gender: Female
- Age: 70

BEFORE
AFTER
Click here to see more views
* Individual Results May Vary
Case # DBL001 | Bilateral Brow Lift & Upper Blepharoplasty Albany, Latham, Saratoga NY
- Gender: Female
- Age: 56

BEFORE
AFTER
Click here to see more views
* Individual Results May Vary
Case # SBL006 | Brow Lift & Upper Eyelid Sliver Blepharoplasty Albany, Latham, Saratoga NY
- Gender: Female
- Age: 76


BEFORE
AFTER
Click here to see more views
* Individual Results May Vary
Case # BLFL-011 | Bilateral Brow Lift & Upper Blepharoplasty Albany, Latham, Saratoga NY
- Gender: Female
The brow and midface lift work in conjunction to elevate the lateral brow and re-suspend the sagging... Read Full Story
The brow and midface lift work in conjunction to elevate the lateral brow and re-suspend the sagging cheek fat back to their youthful positions.


BEFORE
AFTER
Click here to see more views
* Individual Results May Vary
Case # BLFL-014 | Bilateral Brow Lift & Upper Blepharoplasty Albany, Latham, Saratoga NY
- Gender: Male
This patient had a very heavy forehead or brow which causes him difficulties in seeing. The forehead... Read Full Story
This patient had a very heavy forehead or brow which causes him difficulties in seeing. The forehead or brow actually weighed down his upper eyelids. This would cause interference in his vision. The surgery of choice was not only an upper eyelid Blepharoplasty but an Endoscopic Browlift was performed. The Endoscopic Browlift was performed first and then excess tissue from the upper lids was removed on the same day of the surgical procedure. It not only gave a more youthful look, but also improved his visual field.
Notice how the heaviness of the lids have been taken away giving him a more youthful appearance.















































